
A nossa articulação possui um líquido com diversas propriedades – o líquido sinovial.
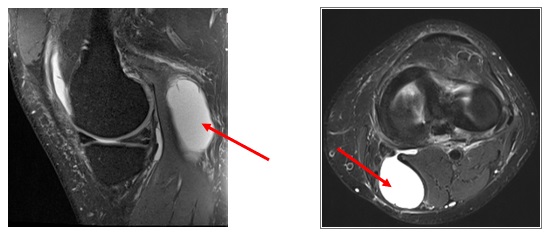
O Quisto de Baker, ou quisto poplíteo, consiste num quisto com líquido sinovial, de localização posterior no joelho.
Este quisto pode ser congénito (crianças) ou, mais frequentemente, pode surgir por alterações da articulação como roturas do menisco ou artrose, que levam a uma hiperprodução e extravasão deste líquido.
Habitualmente não provoca queixas e passa despercebido, no entanto dependendo do seu volume, pode provocar dor e desconforto na região posterior do joelho em agachamentos ou após períodos de maior atividade física. Pode ser notório o “inchaço” na parte posterior do joelho.
Por vezes o Quisto de Baker, por excessiva tensão, rompe, levando a um quadro súbito de sensação de líquido a escorrer pela perna acompanhado de dor intensa, calor e rubor.
O aparecimento súbito destes sintomas normalmente levam a que o doente procure de forma urgente o seu médico assistente. A avaliação médica permitirá excluir outros diagnósticos diferenciais – como a Trombose Venosa Profunda (TVP).
O seu Ortopedista e Médico de Medicina Geral e Familiar poderão realizar o diagnóstico com o exame objetivo, mas habitualmente são pedidos exames complementares de diagnóstico como a Ecografia e a Ressonância Magnética.

O tratamento do quisto de Baker habitualmente é dirigido não ao quisto em si, mas à patologia intra-articular do joelho que estará na sua origem. O tratamento conservador com anti-inflamatórios, diminuição da atividade física, crioterapia e elevação do membro constituem normalmente o primeiro passo terapêutico que normalmente é eficaz.
Caso os sintomas persistam, e o doente se manifeste insatisfeito com o resultado do tratamento conservador, pode ser ponderado a realização de tratamento cirúrgico que já é possível fazer por Artroscopia.
Artigo redigido por Dr. Levi Reina Fernandes (OM:53498), Médico Ortopedista dedicado a Patologia do Joelho do Hospital da CUF Santarém e Clínica Sanus em Torres Novas.


















