
A Gonalgia ou Dor no Joelho é um dos sintomas mais frequentes em Ortopedia. Pode ter origem num episódio traumático, como uma entorse ou um trauma direto, ou ser degenerativo, ou seja, decorrente de um desgaste da articulação.
Este desgaste da articulação é designado de Artrose. Existem vários fatores de risco, entre eles a idade avançada, o excesso de peso e o sexo feminino.
A principal queixa é sentir uma dor ao caminhar, que impede muitas vezes a pessoa de fazer uma vida normal. Associada à dor pode existir rigidez da articulação, que impede uma normal flexão e extensão do joelho (a pessoa não consegue dobrar nem esticar o joelho completamente).
Normalmente o agravamento é progressivo, condicionando limitação e incapacidade significativas. Pessoas ativas que fazem caminhadas ou corridas podem deixar de o fazer por sentirem dor.
É nessa altura de maior sofrimento que a pessoa recorre à Consulta de Ortopedia dedicada ao Joelho.
Após uma avaliação das queixas, um exame físico cuidado e rigoroso, acompanhado de meios complementares de diagnóstico adequados, é feito o diagnóstico de Gonartrose, ou Artrose do Joelho e inicia-se o processo terapêutico.
O tratamento inicial consiste na administração de analgésicos, anti-inflamatórios, fisioterapia para reforço muscular assim como perda de peso nos casos em que se aplica.
Quando identificada numa fase inicial, a Gonartrose pode ainda ser tratada com infiltrações articulares de ácido hialurónico ou Viscossuplementação (“lubrificação” do Joelho), que ajuda no alívio sintomático e melhoria da qualidade de vida.
Nos casos em que o tratamento conservador falha, colocam-se então outras opções, nomeadamente o tratamento cirúrgico.
Apesar de a idade ser um factor de risco, a Gonartrose afeta também doentes jovens (40 – 60 anos). São pessoas ativas e muitas vezes com trabalhos exigentes que recebem a notícia de que “Vai precisar de uma Prótese, mas ainda é muito novo(a)”, estando a pessoa “condenada” a sofrer e a aguentar até uma idade mais avançada.
No entanto, após um estudo completo, podem ser identificadas alternativas terapêuticas, nomeadamente: Próteses Parciais (só de um compartimento do Joelho) ou Osteotomias.
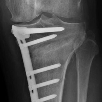
Muitas vezes a Gonartrose é resultado de uma sobrecarga por desalinhamento do membro inferior (varo ou valgo), causando afetação de apenas um dos compartimentos do joelho, que apresenta um desgaste acelerado. Pessoas com as pernas arqueadas ou os joelhos para dentro são sujeitas a este tipo de sobrecarga, podendo levar a sintomas de dor e limitação do lado de dentro ou de fora do joelho ainda em idade jovem.
A identificação dessa deformidade pode dirigir o tratamento para uma cirurgia mais conservadora, minimamente invasiva, que permita preservar a articulação nativa do joelho sem necessidade de substituição (Prótese).
Essa cirurgia designada por Osteotomia, é uma cirurgia desafiante na qual é realizado um corte preciso no osso e se corrige o desvio do membro levando a uma melhoria dos sintomas e possibilidade de retomar as atividades recreativas e laborais, com elevado grau de satisfação.
Cada vez mais pessoas tem vindo a beneficiar deste tipo de tratamento. Em alguns casos, pode até evitar-se a necessidade de realizar uma Prótese do Joelho no futuro.
Se tem sintomas do Joelho que o impedem de fazer uma vida normal, procure um Ortopedista dedicado à Patologia do Joelho para um diagnóstico e tratamento adequado.
Artigo redigido por Dr. Levi Reina Fernandes (OM:53498), Médico Ortopedista Subespecializado em Patologia do Joelho do Hospital da CUF Santarém e Clínica Sanus em Torres Novas.






















